烤瓷牙和牙齿贴面都可以修复?哪种好?
随着医疗技术的发展
光是口腔科治疗的项目也越来越多
这可苦了选择困难症人群
“我虫牙有点厉害,医生说需要做冠”
“我牙齿缺了一半”
“我牙齿有点牙缝”
“我牙齿颜色有些……”

在牙齿修复中,烤瓷牙、牙齿贴面都能解决不同程度的牙齿缺损、色泽等问题。但是这两者间还是有一定区别的。

虽然贴面和烤瓷牙都能解决牙齿的色泽问题,但牙齿的损坏程度不同,求美者的治疗选择则会不同。

烤瓷牙:烤瓷牙则适合几乎所有类型的牙齿,只要保留了牙根,就可以做烤瓷牙。
牙齿贴面:牙贴面适合轻微损坏的牙齿,而对于牙齿严重缺损的则无能为力。
烤瓷牙:如果你的牙冠不能用,牙根还能用的话,可以考虑做烤瓷牙,只要在牙根上安装烤瓷牙戴上即可,但是这种修复方式需要磨除两边的健康牙来做搭桥,是一种不可逆的破坏性修复。

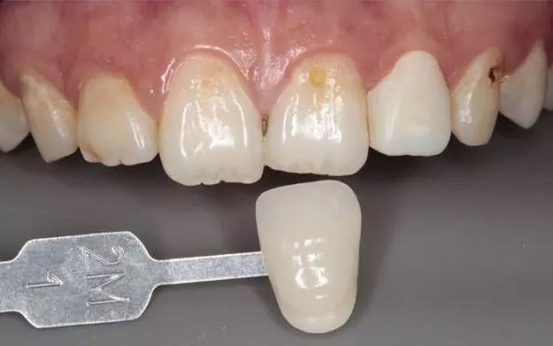
牙齿贴面:牙贴面用于修复轻微受损的牙齿,而且非常薄,需要磨牙的程度特别少,甚至许多牙齿可以不用磨。而烤瓷牙会根据牙齿损坏的程度来磨牙,磨牙程度相对更大一些。
牙贴面用于修复轻微受损的牙齿,而且非常薄,像沙医生采用的牙贴面只有0.1mm需要磨牙的程度特别少,甚至许多牙齿可以不用磨。而烤瓷牙会根据牙齿损坏的程度来磨牙,磨牙程度相对更大一些。

烤瓷牙修复
1、重度四环素牙齿、氟斑牙的患者,选择烤瓷牙;
2、牙齿的扭转不齐严重,医生判断烤瓷冠可以很大程度的改善美观的,选择烤瓷牙,否则应该考虑矫正;
3、牙齿缺损比较多,需要保护或者恢复形态的,选择烤瓷牙

贴面修复
1、牙齿轻度的扭转不齐,希望恢复牙齿的形态和位置的患者,建议选择贴面修复;
2、牙齿颜色黄黑,轻、中度四环素牙齿,建议选择贴面;
3、牙齿有间隙希望改善一定程度形态的患者,建议选择贴面;
4、牙齿基本还不错,但对美观要求高,希望提升美观的,建议选择贴面。

通俗来说两者之间,烤瓷牙是套上的,牙齿贴面是贴上的。如果想要治牙就是做烤瓷,美观就是贴面,你清除了吗?

