为什么医生镶一颗牙要磨两边的牙齿?
在做烤瓷牙时,很多人一肚子气,
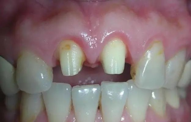
本来是要镶牙的,平白无故磨掉两边牙齿,
结果把牙齿都磨了,烤瓷牙连着3颗戴上去,
多了2颗感觉特别贵。
事实上,戴烤瓷牙真的会伤害牙齿吗?
就在最近呢,有一些人问小编,“为什么我一颗牙齿坏了,我镶牙还要磨掉我两边的牙齿?我那两个是好牙啊!”那么咱们今天就来聊聊口腔的问题~
现在的口腔医生在做烤瓷牙时,很多人一肚子气,本来是要镶牙的,平白无故磨掉两边牙齿,结果把牙齿都磨了,烤瓷牙连着3颗戴上去,多了2颗感觉特别贵,现实中,戴烤瓷牙真的会伤害牙齿吗?

实际上,戴烤瓷牙有利有弊!医生之所以镶一颗磨两颗,磨掉两边牙齿是为了固定缺失部位的烤瓷牙,你要知道烤瓷牙是没有独立牙根,想要一枝独秀几乎不可能,除非是牙根还在,根管治疗单独戴一颗烤瓷牙冠,所以,磨除牙齿并不是因为医生黑。要是不想磨除两侧牙齿,可以选择做种植牙,种植牙的确比烤瓷牙要更胜一筹。

“那难道烤瓷牙真的没有亮点了吗”?
并不是!这跟烤瓷牙材料有关,像牙龈变黑和牙龈出血两种症状,部分烤瓷牙金属内冠,可能对牙龈严重刺激,灰色氧化物会沉积在牙龈边缘,甚至有患者对贵金属过敏,所以钴铬合金和贵金属材料不太适合,如果选择全瓷牙其实可以避免,一般医生会优先建议全瓷修复。
“ 那镶烤瓷牙好还是直接种植牙好”?
首先,两者最大的区别在于是否含有牙根,种植牙是真实存在的牙齿,咀嚼食物比假牙强得多,缺点就是价格太贵,目前还没能医保报销,经济有限的情况下,只能磨掉两边牙齿镶烤瓷牙,当然也可以做活动义齿,如果护理得好,依然也可以用到10年左右。

“ 那镶牙选择活动义齿不就好了”?
活动义齿的价格的确是美丽的,还能方便摘戴清洗,一般都是金属做支架,树脂做成牙龈,听起来比烤瓷牙好得多,但是你要想一下,一颗塑料牙齿在嘴里吃东西是种什么样的体验,一般老人用得比较多,所以,烤瓷牙拥有牙体这点已经有很大优势。

有些人认为不镶牙没什么事,谁知后来牙齿缺失部位,连旁边两颗牙齿都松动脱落了,所以,牙齿有问题一定要及早治疗哦。

