几十块钱就能补好的牙,久拖不治,以至要花上万,冤不冤?
好多患者蛀牙疼到受不了,牙齿差不多烂了一半,直接上来就想让医生补掉蛀牙,但是医生说这种情况已经补不了,难道眼睁睁看着蛀牙被拔掉吗?为什么就不能补牙,这背后隐藏什么巨大隐患?

之所以不能补牙有两方面:
一是蛀牙出现疼痛,说明牙髓受细菌感染,可能已经引起牙髓炎,这时得进行根管治疗;
二是蛀牙面积过大,复合树脂补牙往往没效果,补完没多久容易掉。
三是蛀牙引起牙根发炎,牙龈上还会长脓包,医生会拍片检查症状。

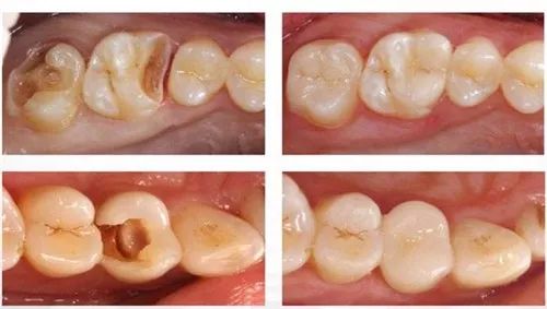
1、那蛀牙到什么程度才能补牙,怎么肉眼辨别?
通常蛀牙有三种阶段,各位对号入座:
第一阶段:牙齿咬合面有黑线,大牙一般最常见,说明开始蛀牙了,牙釉质被细菌龋坏,但不痛不痒,会出现窝沟龋得及时补牙,而不是去洗牙;
第二阶段:牙齿出现小黑洞,说明引起中度蛀牙,细菌腐蚀来到牙本质,伴随着牙齿敏感,黑色腐败物质其实就是细菌的产物,这时候还可以再补牙;
第三阶段:牙齿超过一半烂掉,说明已经重度蛀牙,细菌伤及牙髓牙神经,还伴随着剧烈疼痛,牙神经病变这时得根管治疗处理,挽救伤痕累累的牙齿。

2、如果轻度蛀牙想去补牙,哪种材料性价比高?
目前这两种普遍用得多,根据你的蛀牙情况进行选择:
玻璃离子,生物相容性较好的充填材料,与牙体组织有更好的粘接性,保护牙髓的同时还能释放氟化物,预防再次蛀牙,小朋友乳牙被蛀坏,这种材料补牙比较合适。

复合树脂,接近牙齿颜色的填充材料,粘接性还不错,特别耐磨抗腐蚀,关键补牙后还看不出有补过痕迹,大人和小朋友都可以使用。
补完牙齿并不代表就能一劳永逸,没有好好保养牙齿,一年内也是会再次脱落,真的伤不起!
小洞不补,大洞吃苦
俗话说:小洞不补,大洞吃苦。蛀牙是牙齿健康的天敌,很多人从孩童时期就开始蛀牙,蛀牙不仅会导致牙齿疼痛而且长期蛀牙会龋坏牙齿,由浅入深的龋坏,牙齿里形成深深的牙洞,而此时只有及时的补牙才能防止蛀牙的进一步发展。因此小编提醒:补牙一定要趁早。

很多小伙伴有过这样的经历
牙疼的翻天覆地、彻夜难眠
心想“一定要找个时间去看牙医!”
但一不疼了又想:
“看牙医好可怕,还贵,还是以后再说吧…”
结果牙疼没拖好,反而变本加厉!
牙疼得睡不着觉,似乎没有尽头了!
只能鼓起勇气终于去做了补牙!
小洞不补,大洞吃苦!
蛀牙是牙齿健康的天敌,很多人从孩童时期就开始蛀牙,蛀牙不仅会导致牙齿疼痛而且长期蛀牙会龋坏牙齿,由浅入深的龋坏,牙齿里形成深深的牙洞,而此时只有及时的补牙才能防止蛀牙的进一步发展。

补牙为什么要趁早?
如果患了蛀牙(龋病)就应尽可能地早修补,因为龋洞经过修补后可以阻止龋病病变的发展,及早恢复牙齿的功能,保持牙列的完整。
若不进行及时治疗,病变就会越来越大,从浅龋发展到深龋,对冷热酸甜等食物刺激敏感;当损伤到达牙髓,引起牙髓炎,此时牙痛会十分严重。
当病变再进一步发展,会引起根尖炎、根尖周脓肿,甚至颌骨骨髓炎,牙齿脱落缺失。牙齿的龋坏、缺失,会影响咀嚼,加重胃肠负担,进而影响身体健康。
坏牙如何补?
01
简单补牙
症状:蛀牙,牙齿龋坏;坏了一点的;没有伤到神经,没有自发疼痛的。像这种只需要补牙就行了。
应对方式:简单补牙即可

费用:低则几十元,高则几百元。
02
根管治疗+补牙
症状:龋坏缺损较大;有自发疼痛,刺激疼;这种说明已达牙神经,神经已经感染发炎,无法挽回,需要做根管治疗,然后再补上。
应对方式:根管治疗+补牙,前牙根管+普通树脂,后牙根管+进口树脂

费用:最低三四百左右,最高达到几千元。
03
根管治疗+打桩+牙冠
症状:龋坏、缺损占牙冠一半以上了。这种情况做完神经治疗后,需要打桩做牙冠。
应对方式:根管治疗+打桩+牙冠
费用:少则几千,多则上万
最后提醒大家:只要发现龋洞,不管大小、深浅、部位一定要及时修补。因为,龋齿不会消失,只会越来越严重。所以,越早补越省钱哟!


