前牙美学树脂修复的步骤与流程
前牙美学树脂修复实操,所用器械,树脂登泰克。




制作硅橡胶背板,上橡皮障



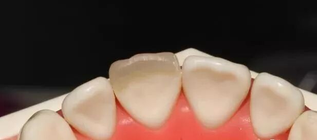
腭侧的恢复
制备,唇侧45度短斜面,舌侧垂直,涂布粘结剂20s,等20s,再次涂布20s,等20s ,光照,腭侧的堆塑,用釉质树脂,越薄越好。


邻面的恢复
豆瓣成型片的运用,恢复近远中面。



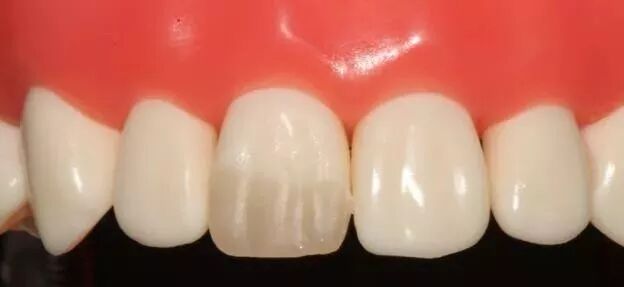
牙本质核的堆塑


切端乳光、晕圈、个性化特征的堆塑


釉质树脂恢复外形,抛光






前牙美学树脂修复实操,所用器械,树脂登泰克。




制作硅橡胶背板,上橡皮障



腭侧的恢复
制备,唇侧45度短斜面,舌侧垂直,涂布粘结剂20s,等20s,再次涂布20s,等20s ,光照,腭侧的堆塑,用釉质树脂,越薄越好。


邻面的恢复
豆瓣成型片的运用,恢复近远中面。



牙本质核的堆塑


切端乳光、晕圈、个性化特征的堆塑


釉质树脂恢复外形,抛光





