全瓷牙比烤瓷牙贵几倍,真的值吗?
一提起来全瓷牙大部分人的反应都是:
全瓷牙的价格往往是烤瓷牙的几倍
这是到底是为什么呢?
开个玩笑O(∩_∩)O~
下面我们就来看一下全瓷牙和烤瓷牙的差别,用事实来说明贵的原因!
什么是全瓷牙?
全瓷牙,又称全瓷冠,是覆盖全部牙冠表面,且不含金属内冠的瓷修复体。
什么是烤瓷牙?
烤瓷牙,即烤瓷熔附金属全冠,瓷粉经过高温烧结熔附于金属内冠表面而形成的全冠修复体。



全瓷牙的硬度与牙釉质近似,不会造成对颌牙磨损;烤瓷牙的硬度大于牙釉质,可造成对颌牙的磨损。



通过对全瓷牙与烤瓷牙临床实践的比较之后
我们可以很明显地发现
全瓷牙大大克服了金属烤瓷牙的缺点
让牙齿修复更加趋向完美!
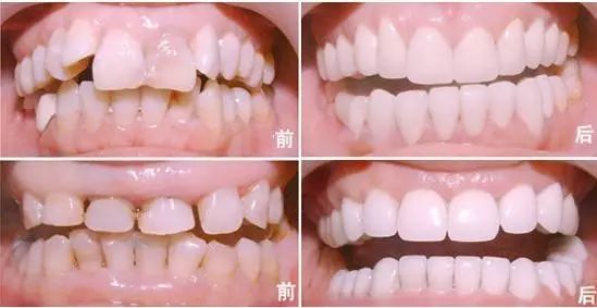
全瓷牙修复案例

