矫正牙齿真能变美?听听牙科医生怎么说
总听人说“牙齿矫正堪比整形!”,身边不少人也都表示:只要能够变美变帅,愿意承受带牙套的痛苦...
那么问题来了,带上牙套会让人变美丽吗?接下来就由专业的正畸医师为您一一解答。
牙齿矫正,是什么?
牙齿矫正:专业术语又叫口腔正畸。只不过,这里的畸形不单单指牙齿,而是指错颌畸形。
简单来说就是脸部畸形,具体来说就是眼睛以下、鼻子以外的地方长的不好看,正畸医生都可以帮着管管。
正畸医生主要通过矫治器缓慢而温柔地进行矫正治疗,一般不会动刀动枪,如果真需要动刀的时候,我们会喊正颌外科的医生帮忙。
哪些症状需要做牙齿矫正?
如果你或者你的孩子有以下列举的这些问题之一,都可以先找正畸医生聊聊:
① 牙齿不齐
② 牙齿虽然齐但是龅牙
③ 牙齿虽然齐,也不龅牙,但是上下牙之间咬不好
④ 牙齿有缝隙
⑤ 牙齿看上去挺好,嘴巴特别突
⑥ 牙齿看上去挺好,下巴特别大
⑦ 牙齿看上去挺好,脸特别长
⑧ 牙齿看上去挺好,脸特别短
⑨ 好不好看我不知道,但是我家娃有明显的坏习惯:吮手指、咬铅笔、吐舌头…
⑩ 我也不知道哪儿不好,总之别人说我丑…
恕我直言,我们大部分人或多或少都有点错颌畸形,因为从调查结果来看,错颌畸形的发病率,乳牙期大概是51.84%,替牙期大概是71.21%,恒牙初期大概是72.92%。也就是说,每10个换完牙的孩子中大约就有7个存在错颌畸形问题。
正畸=整形?No No No
有一些朋友因为以下这些原因来找正畸医生,我觉得完全可以省点路费了:
① 脸太胖、太宽、太方——大部分情况下,横向的问题不是正畸医生的专业,正畸能减肥也是一个美丽的误会。
② 眼睛、鼻子、额头不好看——正畸医生主要管面下三分之二,超出这个范围也许可以去整形医生那里看看。
③ 牙齿形状、颜色不好看——正畸医生是牙齿的军训教官,管队列,管姿势,管行进间配合,但是不管每个牙齿的颜值,这个问题也许可以去找找口腔修复医生。
④ 牙齿松动、牙齿疼、牙龈出血、牙齿掉了——这些都是牙齿已经出现了严重的健康问题。你应该先看其他口腔专业的医生,如牙体、牙周等,等解决了燃眉之急,再考虑正畸治疗。
正畸能带来哪些效果呢?
正畸的治疗效果虽然没有像整容那么夸张,但可以去除因牙齿因素导致的面容不美,还可以在一定程度上修正因颌骨发育导致的一些容貌问题。
一般来说,正畸治疗的效果主要体现在以下几个方面:
① 通过各种各样的矫治器调节小朋友的口腔功能,破除不良习惯的影响,使得小朋友的脸能在健康的环境下发育。
② 通过各种各样的矫治器调节小朋友的生长发育,使得上颌骨(眼睛和嘴巴之间的骨骼)和下颌骨(下巴)生长的比例更加协调。
注意: 以上两点统称为矫形治疗,只针对生长发育阶段的小朋友,最好在青春发育期前,一般会需要配戴各种奇形怪状的矫治器。另外,这些矫治器只能调节后天因素,对于先天性或遗传性因素导致的畸形,作用会非常有限。
矫形治疗矫治器
③ 通过各种各样的矫治器排齐牙齿。这是正畸治疗最基本的效果,可以说,没有正畸医生排不齐的牙齿,实在不行,我们还可以拔牙来排。
④ 通过改变牙齿位置来调节咬合关系。牙齿就像机器的齿轮,上下牙之间最好能严丝合缝。当错颌畸形出现时,他们就可能出现错位,正畸不但能排齐牙齿,还能改善它们之间的吻合关系,便于美观及更好地发挥功能。
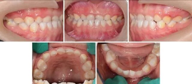
治疗前
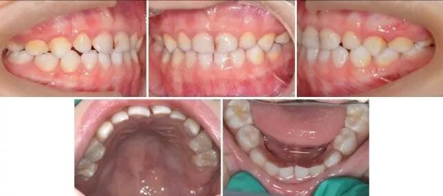
治疗后
⑤ 通过改变牙齿位置来改善嘴唇周围的形态。所谓唇齿相依,牙齿的排列对于嘴唇会有决定性的支撑作用,很多情况下,由于牙齿拥挤或者前突,会造成“嘴突”。通过正畸可以减少嘴唇的突度,有效提高颜值,这可能就是大家所说的整牙堪比整容的主要原因了。
侧脸对比图
正脸对比图
当然,也有很多朋友说咱不靠脸吃饭,正畸没必要,腹有诗书气自华。关于这个,我有两点要说:
首先,外表美和心灵美并不冲突,在心灵美的前提下,能漂亮一点为啥不漂亮一点?明明能靠脸吃饭偏偏要靠才华岂不是更酷?
更重要的是,错颌畸形是影响健康的:牙齿不齐会导致很难刷干净,进而引发牙齿龋坏、牙龈炎、牙周病...所有的口腔疾病都会慢慢找上来。
牙齿咬合不好还会加重肠胃负担,因为食物没有经过充分的研磨。
特定的错颌畸形还会影响发音等口腔功能。
错颌畸形也会使孩子从小伴随着龅牙苏、兔子牙、光头强…之类的外号长大,影响孩子的心理健康。
归根到底,正畸不单单是美观问题,也是影响整个人气质和心理健康的关键因素,大家一定要正确认知正畸治疗。

