牙医 VS 患者眼中的正畸,差别有多大?
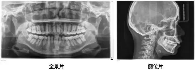
拍片
1.X 光片帮助医生判断你的牙齿情况
通过这两张片子,医生能够对你的牙齿、牙根、牙槽骨、颌骨甚至关节等进行判断、数据分析,就像这样发现一堆肉眼无法发现的问题!
2. X 光片的辐射,远比你想象的小
能对致癌率产生影响的最低剂量是100000μsv,相当于2万次小牙片达到的量,而且对于患癌率的影响是需要长期积累才会有明显的效果,单次检查的吸收剂量远远低于安全阈值,所以只要避免短时间内频繁接受大剂量辐射,还是很安全的。
综上,拍摄牙片是必要的,而检查产生的射线对身体的影响也是微乎其微的,孕妇等特殊人群还是需要听从医生的判断哦!
诊断
功能第一, 医生首先考虑的是你的口腔健康
完美的矫正是健康、功能、美观、长期稳定的和谐统一。
很多年轻人矫正,只是想改善牙齿和容貌的美观,但矫正的功效不仅限于此。重要的是,矫正能让你在接下来的50年甚至更久拥有一口好牙,改善咀嚼功能,而且整齐的牙齿更易被清洁,利于牙齿和牙周组织的健康。
颜值肯定有改善,但要变成大明星还......
正畸协调的是面下三分之一,所以对侧貌的改变有可能是“翻天覆地”的!
方案
矫正进行时
骨钉、牵引的作用
在矫正过程中,要随心所欲移动牙齿且不产生副作用,就必须依靠牙齿以外的施力点、牙套以外的牵引力。
清洁重要的是:牙膏含氟+正确的刷牙方法
与其在牙膏选择上徘徊纠结,不如听从主治医生的嘱托,直接购买专业的正畸牙膏,牙刷也是同理,刷牙方式上巴氏刷牙法才是真理。
如果牙套脸、黑三角找上了你
牙套脸其实就是指正畸导致的太阳穴和脸颊凹陷,颧骨变宽变突出,使得很多正畸患者觉得自己的脸型看起来没有以前流畅,变丑了。
矫正结束

